

You can rest assured that your family’s smiles are in the very best of hands! As your family’s trusted dentist in Pikesville, we provide a comprehensive range of state-of-the-art services designed to meet the dental needs of every member of your family.
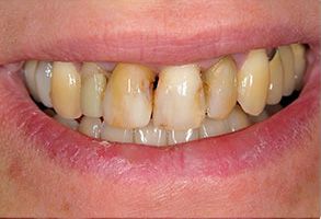
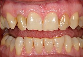
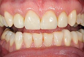
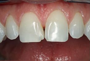
From the moment you step into our office for care, you’ll feel completely at ease. Our compassionate and experienced office team is sensitive to the unique needs of every patient and strives to make each visit a comfortable and stress-free experience. Whether you or a family member needs a routine dental checkup or requires a filling, a cosmetic smile makeover, teeth whitening, porcelain veneers, crowns, bridges, or dental implants, we’re well equipped to provide the skilled and experienced care that’s required.
If you are looking for a dentist in Pikesville with an established reputation for providing the highest quality of dental services in an atmosphere that’s comfortable and caring, give us a call today. Our office participates in many insurance plans so that you can begin your family’s dental care without any additional stress or delay.
Featured Services Book an Appointment













Our office is situated at 1864 Reisterstown Rd #C, Pikesville, MD 21208.
To schedule an appointment, please call us at (443) 650-7810. Our team will be happy to assist you.
We accept Mastercard, Visa, American Express, Discover credit cards, cash, and personal checks.
Yes, we accept most major PPO insurance plans. Our billing coordinator will be happy to discuss any insurance or billing questions you may have.
Our state-of-the-art practice upholds the strictest sterilization standards and safety protocols to protect our patients' health.
We understand that dental care sometimes evokes anxiety and do our best to alleviate these feelings and ensure patient comfort at every visit.
Yes, we believe that patient education is essential for maintaining good oral health. We take the time to provide patients with the information and resources they need to keep their smiles in tip-top condition.
Dr. Garrett Tom, DDS, leads our team. He graduated from the University of Maryland Dental School and is dedicated to providing quality dental care to his patients.
Yes, we are currently accepting new patients. Please call us at (443) 650-7810 to schedule your first appointment.
Your first visit is an opportunity to get to know our practice, see our facility, and meet our team. We'll discuss your dental concerns, collect relevant health history, and perform a clinical exam to establish a baseline for care.
You can request an appointment by visiting our website and filling out the "Request an Appointment" form. We respond promptly to all online requests.
We provide a comprehensive range of dental services, including dental cleanings, emergency treatment, extractions, oral cancer screening, oral exams, pediatric dentistry, root canals, crowns & caps, dental bridges, dental fillings, and teeth whitening.
You can reach us by phone at (443) 650-7810 or visit our office at 1864 Reisterstown Rd #C, Pikesville, MD 21208. For more information, please visit our website: pikesvillefamilydentistry.com
Book Your Appointment Online!
Book Now